แม่อุรังอุตังตาบอดตะเกียกตะกายพาลูกหนีตาย พบมีกระสุนใจตัว 74 นัด!
มีผู้พบแม่ลิงอุรังอุตังในสภาพตาบอดบาดเจ็บสาหัสพร้อมลูกน้อยในบริเวณใกล้สวนปาล์มน้ำมันบนเกาะสุมาตรา เจ้าหน้าที่จึงรีบนำตัวลิงสองแม่ลูกไปทำการรักษาตัวที่โรงพยาบาลสัตว์

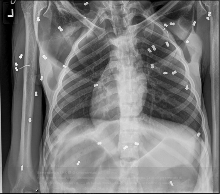
น่าเสียดายลูกลิงที่เรื่องที่อยู่ในสภาพย่ำแย่ได้เสียชีวิตระหว่างทาง และเมื่อทำการตรวจร่างกายแม่ลิงอย่างละเอียดก็พบว่าตลอดร่างกายของมันมีกระสุนตะกั่วที่ยิงจากปืนลม มากถึง 74 เม็ด ! แถมด้วยกระดูกที่หักเพราะถูกตีด้วยของแข็งหลายแห่งมาก แม้แต่ที่กระดูกคอก็หัก แต่มันไม่ตาย

ที่น่าสงสารมากก็คือ ตาของมันทั้งสองข้างมีกระสุนปืนยิงหลายนัดทำให้ตาบอดสนิท (เห็ดชัดในฟิล์ม)

น้ำมันจากปลาล์มเป็นที่ต้องการในท้องตลาดมากขึ้นทุกปี ทำให้ประเทศอินโดนีเซียและมาเลเซียมีการเพิ่มพื้นที่ปลูกปาล์มน้ำมันมากขึ้นตลอดเวลา ผลที่ตามมาคืดการบุกรุกป่าที่เป็นบ้านของสัตว์ป่าอย่างอุรังอุตัง และส่วนใหญ่การรุกป่าที่ว่านี้ผิดทั้งกฏหมายผิดทั้งมนุษยธรรม เพราะจะมีการเผาป่าจนเป็นปัญหาประจำปีอย่างที่เห็น

ขณะนี้ดจ้าหน้าที่กำลังพยายามฟื้นฟูแม่ลิงที่โดนทารุณให้มีอาการดีขึ้น แต่คงไม่มีทางที่มันจะกลับไปใช้ชีวิตในป่า ที่เปรียบเสมือนบ้านของมันได้ เพราะขณะนี้มันพิการไปแล้ว

เราคงทำได้แต่สาปแช่งคนที่ทำแบบนี้กับเพื่อนร่วมโลก และขอให้ผลกรรมตามทันพวกเขาโดยเร็ว
ข้อมูลจาก Truththeory
